LANAP is an amazing procedure to treat gum disease, which is a disease that is very prevalent in the population. Traditional methods of treating periodontal disease can be unappealing. That is why most gum disease are left untreated which can lead to not only dental problems but health problems as well.
Clinical photos will show that LANAP has a dramatic effect on treating gum disease. Patients are comfortable because there are no cutting or stitches involved in the process.
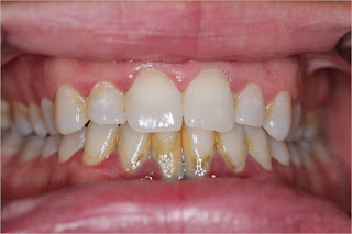
This is a 44 year old female who came into my office because her previous dentist wanted to extract periodontally involved teeth and place implants on her front teeth.
Initial Exam Photos:
After 1 week of LANAP procedure photos: Notice the fibrin clot formed.
3 months Post Op photos:
We were able to save this patient's teeth without any extractions and the patient is extremely happy.













No comments:
Post a Comment